Nem todo nódulo de tireoide precisa de punção (PAAF)! Diretrizes ATA 2026: nódulos menores que 1 cm geralmente NÃO puncionar (exceto linfonodos suspeitos, invasão extratireoidiana). Maiores que 1 cm: indicação depende de características no ultrassom (hipoecoico + microcalcificações = 1 cm, isoecoico = 1.5 cm, misto/espongiforme = 2 cm). Objetivo: evitar procedimentos desnecessários em nódulos benignos (90%).
Se o seu objetivo é sair da dúvida para um plano claro, veja também a página sobre nódulo na tireoide e a consulta para revisar ultrassom, TI-RADS e indicação de PAAF.
O que é PAAF (punção aspirativa por agulha fina)
PAAF é o principal exame usado para avaliar se um nódulo de tireoide é benigno ou maligno.
Como funciona:
- Inserir agulha fina no nódulo
- Aspirar células
- Analisar no microscópio (citopatologia)
- Classificar segundo Bethesda (I a VI)
Características do procedimento:
- ⏱️ Rápido: 10-15 minutos
- 💉 Agulha fina (menor que de tirar sangue)
- 💊 Anestesia local (maioria dos casos)
- 🔊 Guiado por ultrassom (90% dos nódulos não são palpáveis)
- 😌 Pouco desconforto
- 🏠 Retorna para casa no mesmo dia
Leia mais: Como é feita a punção da tireoide
Por que nem todo nódulo precisa de PAAF
Razão 1: Maioria dos nódulos é benigna
Estatísticas:
- 90-95% dos nódulos são benignos
- Apenas 5-10% são câncer de tireoide
- Câncer de tireoide tem prognóstico excelente (99% de cura)
Razão 2: Evitar overtreament
Problema do overtreatment:
- Detectar cânceres microscópicos (microcarcinomas menores que 1 cm)
- Muitos nunca cresceriam ou causariam problemas
- Cirurgia tem riscos (hipoparatireoidismo, rouquidão)
- Tratamento pode ser mais agressivo que a doença
Novo paradigma (ATA 2015/2026):
- Ser mais conservador na indicação de PAAF
- Evitar detectar cânceres minúsculos sem relevância clínica
- Indicar punção apenas em nódulos com risco significativo
Razão 3: PAAF tem limitações
Nem sempre PAAF dá resposta definitiva:
- Bethesda I (não diagnóstico): 5-10% - material insuficiente
- Bethesda III (atipia): 10-15% - indeterminado
- Bethesda IV (neoplasia folicular): 15-20% - indeterminado
Resultado indeterminado pode levar a:
- Cirurgia apenas para "tirar a dúvida"
- Ansiedade prolongada
- Repetir PAAF (nem sempre resolve)
Leia mais: Classificação de Bethesda
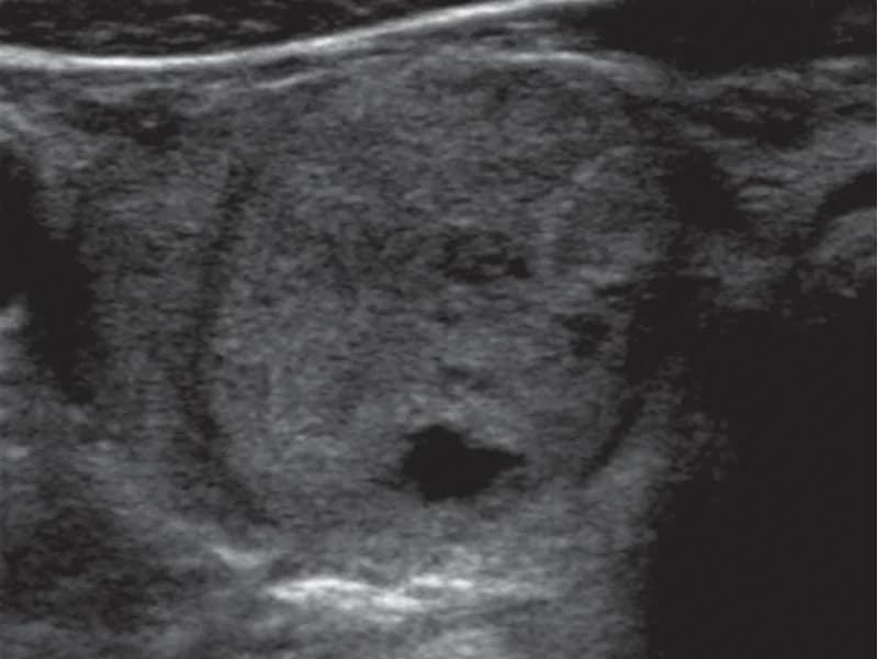
Critérios do ultrassom para indicar PAAF
Características avaliadas no ultrassom
| Característica | Benigno | Suspeito |
|---|---|---|
| Composição | Cístico puro, espongiforme | Sólido |
| Ecogenicidade | Hiperecoico, isoecoico | Hipoecoico |
| Margens | Regulares, bem definidas | Irregulares, espiculadas |
| Calcificações | Macrocálculos (maiores que 1 mm) | Microcalcificações |
| Formato | Mais largo que alto | Mais alto que largo |
| Vascularização | Periférica | Central caótica |
Características MAIS suspeitas (maior risco):
- ⚠️ Hipoecoico marcado
- ⚠️ Microcalcificações
- ⚠️ Margens irregulares/espiculadas
- ⚠️ Mais alto que largo
- ⚠️ Invasão extratireoidiana
Classificação TI-RADS: quando puncionar
Sistema TI-RADS (Thyroid Imaging Reporting and Data System)
Classifica nódulos de 1 a 5 conforme características no ultrassom:
| TI-RADS | Risco | Tamanho para PAAF | Risco de câncer |
|---|---|---|---|
| TR1 | Benigno | Não puncionar | Menor que 1% |
| TR2 | Não suspeito | Não puncionar | Menor que 2% |
| TR3 | Levemente suspeito | ≥ 2.5 cm | 5% |
| TR4 | Moderadamente suspeito | ≥ 1.5 cm | 10-20% |
| TR5 | Altamente suspeito | ≥ 1.0 cm | 50-80% |
Indicações de PAAF segundo ATA 2026
NÓDULOS MENORES QUE 1 CM: geralmente NÃO puncionar
Exceções (puncionar mesmo menor que 1 cm):
✅ 1. Suspeita MUITO alta no ultrassom
- Invasão extratireoidiana (crescendo para fora da tireoide)
- Linfonodos cervicais aumentados e suspeitos
- Múltiplas características suspeitas (TR5)
✅ 2. História familiar forte
- Parente de 1º grau com carcinoma medular
- Síndromes hereditárias (MEN2, polipose familiar)
✅ 3. História de radiação cervical
- Radioterapia na infância/adolescência
- Exposição a radiação (acidente nuclear, bomba atômica)
Resumo: Nódulo menor que 1 cm + ultrassom benigno/pouco suspeito = OBSERVAR (não puncionar)
NÓDULOS MAIORES QUE 1 CM: depende das características
1. Nódulos ALTAMENTE SUSPEITOS (TR5)
Características:
- Sólido hipoecoico marcado
- Microcalcificações
- Margens irregulares
- Mais alto que largo
- 2 ou mais características suspeitas
Indicação PAAF:
- ✅ Puncionar se ≥ 1.0 cm
2. Nódulos MODERADAMENTE SUSPEITOS (TR4)
Características:
- Sólido hipoecoico
- Margens irregulares OU microcalcificações (não ambas)
- 1 característica suspeita
Indicação PAAF:
- ✅ Puncionar se ≥ 1.5 cm
3. Nódulos LEVEMENTE SUSPEITOS (TR3)
Características:
- Sólido isoecoico ou hiperecoico
- Margens regulares
- Sem microcalcificações
Indicação PAAF:
- ✅ Puncionar se ≥ 2.0 cm
4. Nódulos MUITO BAIXA SUSPEITA (TR2)
Características:
- Misto (parte sólida + parte cística)
- Espongiforme (múltiplas microcistos)
Indicação PAAF:
- ✅ Puncionar se ≥ 2.5 cm
5. Cistos PUROS (TR1)
Características:
- 100% cístico (líquido)
- Sem componente sólido
Indicação PAAF:
- ❌ Nunca puncionar (risco de câncer menor que 1%)
Tabela resumo: quando puncionar
| Tipo de nódulo | Tamanho para PAAF |
|---|---|
| Cístico puro | ❌ Não puncionar |
| Espongiforme/misto | ≥ 2.5 cm |
| Sólido isoecoico | ≥ 2.0 cm |
| Sólido levemente suspeito | ≥ 1.5 cm |
| Sólido hipoecoico | ≥ 1.5 cm |
| Muito suspeito (microcalcificações, irregular, mais alto que largo) | ≥ 1.0 cm |
| Invasão extratireoidiana ou linfonodos suspeitos | Qualquer tamanho |
Situações especiais
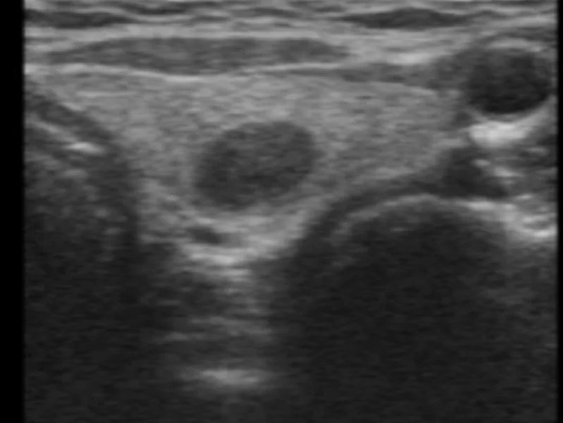
Múltiplos nódulos (bócio multinodular)
Não é necessário puncionar todos!
Escolher para puncionar:
- Nódulo mais suspeito (TR4 ou TR5)
- Nódulo dominante (maior)
- Se todos benignos: puncionar 1-2 maiores
Motivo: Risco de câncer é similar em nódulo único vs múltiplos nódulos.
Nódulos crescendo
Crescimento significativo:
- Aumento maior que 20% em volume
- OU aumento maior que 2 mm em 2 diâmetros
Conduta:
- Se cresceu significativamente: reavaliar indicação de PAAF
- Se já era indicação mas recusou: reconsiderar
- Se não tinha indicação antes: pode indicar agora
Observação: Nódulos benignos também crescem lentamente (0.1-0.3 cm/ano). Crescimento não significa câncer.
Nódulos em pacientes com Hashimoto
Tireoidite de Hashimoto pode causar pseudonódulos:
- Áreas de inflamação que parecem nódulos
- Geralmente múltiplos e mal definidos
- TI-RADS ajuda a diferenciar
Conduta:
- Mesmos critérios de PAAF
- Pode ter nódulo verdadeiro + Hashimoto
- Hashimoto NÃO protege contra câncer
Nódulos em crianças e adolescentes
Risco aumentado:
- 20-25% de malignidade (vs 5-10% em adultos)
- Geralmente comportamento mais agressivo
Conduta:
- Limiar mais baixo para PAAF
- Puncionar nódulos maiores que 0.5-1 cm com qualquer característica suspeita
O que fazer se NÃO puncionar
Vigilância ativa (observação)
Acompanhamento:
- 📊 TSH anual
- 🔊 Ultrassom em 12-24 meses
- 👨⚕️ Consulta anual
Repetir PAAF se:
- Crescimento maior que 20% em volume
- Novas características suspeitas aparecem
- Linfonodos cervicais ficam suspeitos
Tranquilidade:
- Vigilância ativa é segura
- Cânceres de tireoide crescem lentamente
- Detectar crescimento precoce permite tratamento com mesma eficácia
Por que a decisão importa
Dilema: puncionar ou não puncionar
Riscos de puncionar desnecessariamente:
- Ansiedade do paciente
- Resultado indeterminado (Bethesda III/IV)
- Pode levar a cirurgia desnecessária
- Custos
Riscos de NÃO puncionar quando deveria:
- Atrasar diagnóstico de câncer
- Porém: câncer de tireoide cresce devagar
- Acompanhamento adequado detecta precocemente
Solução: seguir critérios estabelecidos
- ATA e TI-RADS baseados em evidências
- Balanceiam riscos e benefícios
- Minimizam overtreament e undertreatment
Perguntas frequentes
Quando procurar um especialista
Procure cirurgião de cabeça e pescoço se:
- ✅ Descobriu nódulo no ultrassom
- ✅ Médico solicitou PAAF e quer segunda opinião
- ✅ PAAF deu Bethesda III, IV, V ou VI
- ✅ Nódulo crescendo ao longo do tempo
- ✅ Sintomas compressivos (dificuldade engolir/respirar)
- ✅ Linfonodos aumentados no pescoço
Conclusão
A decisão de puncionar ou não um nódulo de tireoide deve ser individualizada, baseada em critérios estabelecidos (ATA, TI-RADS) que consideram tamanho e características ultrassonográficas. Nem todo nódulo precisa de PAAF: o objetivo é evitar procedimentos desnecessários em nódulos benignos (90%), mas não deixar de diagnosticar cânceres clinicamente relevantes.
Pontos-chave:
- ✅ Nódulos menores que 1 cm: geralmente não puncionar
- ✅ Nódulos maiores: indicação depende de TI-RADS
- ✅ Cistos puros: nunca puncionar
- ✅ Múltiplos nódulos: puncionar apenas 1-2 (mais suspeitos)
- ✅ Vigilância ativa é segura quando bem indicada
Se você tem dúvidas sobre seu ultrassom ou indicação de PAAF, consulte um especialista para análise individualizada do seu caso.





