Receber um resultado de PAAF com Bethesda 4, 5 ou 6 é assustador — mas não é sinônimo de sentença. Entender o que cada categoria realmente significa e qual é o próximo passo certo faz toda a diferença para tomar uma decisão tranquila e fundamentada.
Se você está justamente tentando entender o próximo passo, veja também o guia sobre cirurgia de tireoide, a página principal sobre nódulo na tireoide e a consulta para revisar PAAF, ultrassom e indicação cirúrgica.
O que é a classificação de Bethesda?
A escala de Bethesda é o sistema internacional que classifica os resultados da punção da tireoide (PAAF) em 6 categorias, do menos para o mais preocupante. Cada categoria tem um risco estimado de malignidade e uma conduta recomendada:
| Bethesda | Nome | Risco de câncer | Conduta habitual |
|---|---|---|---|
| I | Amostra insatisfatória | Indefinido | Repetir PAAF |
| II | Benigno | Menor que 3% | Observar |
| III | Atipia de significado indeterminado | 10–30% | Repetir ou teste molecular |
| IV | Neoplasia folicular | 25–40% | Cirurgia recomendada |
| V | Suspeito para malignidade | 60–75% | Cirurgia |
| VI | Maligno | 97–99% | Cirurgia obrigatória |
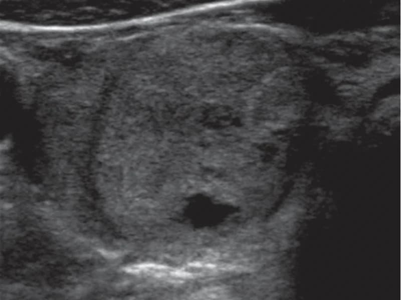
Bethesda IV — Neoplasia Folicular Suspeita
O que significa
Bethesda IV não é diagnóstico de câncer — é uma categoria de incerteza. As células encontradas na punção têm padrão que pode ser de adenoma folicular (benigno) ou carcinoma folicular (maligno). A PAAF não consegue diferenciar os dois: para isso, é necessário examinar a cápsula do nódulo, o que só é possível após a remoção cirúrgica.
Risco real
- 25 a 40% de chance de ser câncer
- 60 a 75% de chance de ser benigno
Conduta
A cirurgia é recomendada para obter o diagnóstico definitivo. Geralmente começa com lobectomia (retirada do lobo onde está o nódulo):
- Se a análise da peça confirmou adenoma benigno: cirurgia encerrada
- Se confirmou carcinoma folicular: pode ser necessária complementação com tireoidectomia total
Alternativa em casos selecionados: teste molecular (Afirma, ThyroSeq) para estratificar melhor o risco antes de decidir pela cirurgia. Conversação com cirurgião especialista é essencial para definir o melhor caminho.
Bethesda V — Suspeito para Malignidade
O que significa
As células têm características fortemente sugestivas de câncer, mas não preenchem todos os critérios diagnósticos. Na maioria dos casos, a suspeita é de carcinoma papilífero, o tipo mais comum de câncer de tireoide.
Risco real
- 60 a 75% de chance de ser câncer
- O risco é alto o suficiente para indicar cirurgia sem aguardar mais exames
Conduta
Cirurgia indicada. O tipo de cirurgia depende do tamanho do nódulo e da presença de linfonodos suspeitos:
- Lobectomia: para tumores pequenos (menor que 4 cm) sem extensão para linfonodos
- Tireoidectomia total: para tumores maiores, múltiplos ou com suspeita de metástase
A escolha é feita na consulta pré-operatória com base no seu ultrassom e na avaliação clínica.
Bethesda VI — Maligno
O que significa
O diagnóstico de malignidade está estabelecido. As células confirmam a presença de células cancerosas. Na maioria dos casos, é carcinoma papilífero de tireoide — o tipo com melhor prognóstico entre todos os cânceres: taxa de cura superior a 95% quando tratado corretamente.
Risco real
- 97 a 99% de chance de ser câncer
- O tipo mais comum (papilífero) tem crescimento lento e excelente resposta ao tratamento
Conduta
Cirurgia obrigatória, programada com segurança — em semanas, não anos. A urgência é real, mas não é emergência: há tempo para avaliar bem o caso, escolher o cirurgião e planejar a cirurgia com calma.
Dependendo do tamanho e das características do tumor:
- Lobectomia: para tumores papilíferos pequenos (menor que 1–2 cm, sem metástase)
- Tireoidectomia total: para a maioria dos casos
- Esvaziamento cervical: se houver linfonodos comprometidos no pescoço
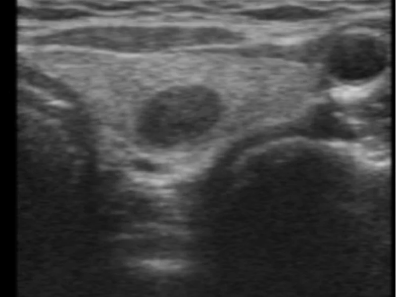
Por que escolher um cirurgião especialista em tireoide?
A tireoide é vizinha de estruturas nobres: o nervo laríngeo recorrente (controla a voz) e as paratireoides (controlam o cálcio). Complicações como rouquidão permanente e queda de cálcio são raras quando a cirurgia é feita por quem opera tireoide com frequência.
Cirurgião de cabeça e pescoço especializado em tireoide:
- Opera volume alto de tireoidectomias por ano
- Identifica e preserva as paratireoides sistematicamente
- Monitora o nervo laríngeo durante a cirurgia (neuromonitorização)
- Taxa de complicações significativamente menor que cirurgião geral
Perguntas frequentes
Quando procurar avaliação cirúrgica
Após receber resultado Bethesda IV, V ou VI:
- ✅ Consulte um cirurgião especialista em cabeça e pescoço — não apenas o endocrinologista
- ✅ Leve todos os seus exames: PAAF, laudos de ultrassom, exames de sangue (TSH, T4 livre)
- ✅ Pergunte sobre o volume de tireoidectomias que o cirurgião realiza por ano
- ✅ Pergunte se ele utiliza neuromonitorização intraoperatória
Conclusão
Bethesda IV, V e VI são resultados que indicam cirurgia — cada um com seu grau de urgência e com sua extensão cirúrgica mais adequada. O câncer de tireoide, quando diagnosticado, é um dos de melhor prognóstico. O tratamento correto, feito por cirurgião especialista, leva à cura na grande maioria dos casos.





