Sobre este vídeo
Descrição
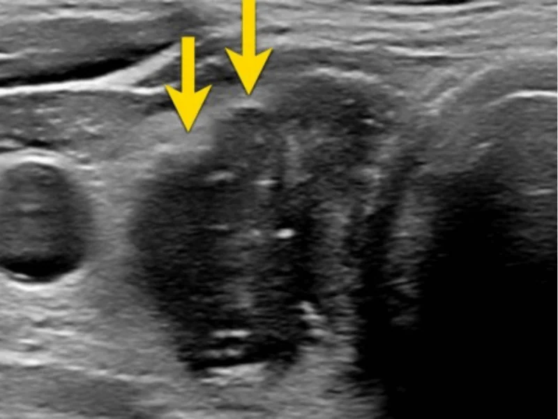
Você recebeu o diagnóstico de um nódulo na tireoide e não sabe por onde começar? 🤔 Não se preocupe, estamos aqui para esclarecer todas as suas dúvidas! Neste vídeo, vamos explicar detalhadamente o que é um nódulo tireoidiano, quais são as possíveis causas e, principalmente, quais são os próximos passos que você deve tomar. Abordaremos os exames necessários 🩺, como ultrassom e punção aspirativa por agulha fina (PAAF), para determinar se o nódulo é benigno ou maligno. Falaremos sobre os diferentes tipos de tratamento, desde o acompanhamento médico até a necessidade de cirurgia. 🏥 Além disso, daremos dicas valiosas sobre como lidar com a ansiedade durante esse período e a importância de manter um diálogo aberto com seu médico. 💬 Não deixe que o medo ou a incerteza tomem conta! Assista até o final e sinta-se mais confiante para tomar as melhores decisões para a sua saúde. 💙 📢 Inscreva-se no canal e ative as notificações 🔔 para receber mais conteúdos informativos sobre saúde e bem-estar! ▶Dr. Jônatas Catunda Cirurgião de cabeça e pescoço CRM 14951 RQE 8522 ▶Whatsapp - 85 98107.2268 ▶Consulta online - https://drjonatascatunda.com/consultaonline ▶Esse canal é meramente educacional. Não deve ser utilizado para realizar autodiagnóstico ou auto tratamento!
Tópicos







