Descobriu nódulo na tireoide no ultrassom? NÃO se desespere: 90-95% são benignos. Características importantes: hipoecóico (mais escuro = mais suspeito), microcalcificações (pontilhado branco = suspeito), margens irregulares (bordas mal definidas = suspeito), mais alto que largo (suspeito). Cisto puro (100% líquido) = 100% benigno. TI-RADS classifica risco e define se precisa PAAF. Próximo passo: procurar cirurgião de cabeça e pescoço.
Primeira coisa: CALMA!
95% dos nódulos descobertos no ultrassom são benignos.
- 95% nódulos tireoidianos = benignos
- 5% = câncer de tireoide
- 99% dos cânceres de tireoide = curáveis
Nódulos são MUITO comuns:
- 50% das mulheres acima de 50 anos têm nódulos
- 30% dos homens acima de 50 anos
- Maioria minúscula (menor que 1 cm)
- 95% não são palpáveis (descobertos apenas no ultrassom)
Como o ultrassom avalia o nódulo
O ultrassom descreve várias características do nódulo. Cada característica tem um peso na classificação de risco (sistema TI-RADS).
Tabela resumo: Características e risco
| Característica | Benigno | Suspeito |
|---|---|---|
| Composição | Cístico, espongiforme | Sólido |
| Ecogenicidade | Hiperecoico, isoecoico | Hipoecoico |
| Margens | Regulares, lisas | Irregulares |
| Calcificações | Macrocálculos | Microcalcificações |
| Formato | Mais largo que alto | Mais alto que largo |
Característica #1: Tamanho
Tamanho sozinho NÃO define risco de câncer.
Precisa avaliar junto com outras características (ecogenicidade, margens, calcificações).
Importância do tamanho
| Tamanho | Conduta típica |
|---|---|
| Menor que 1 cm | Geralmente não punciona (exceto muito suspeito) |
| 1-4 cm | Punciona se TI-RADS 4 ou 5 |
| Maior que 4 cm | Geralmente opera (mesmo se benigno) |
Leia mais: Quando puncionar
Característica #2: Composição
Define se nódulo é líquido ou sólido.
Tipos de composição
Cístico (líquido):
- ✅ 100% benigno
- ✅ Não precisa puncionar
- ✅ Não precisa acompanhar (se puro)
Espongiforme:
- ✅ Muito baixo risco (menor que 2%)
- Múltiplos microcistos (mais de 50% do volume)
- Raramente precisa PAAF
Misto:
- ⚠️ Parte sólida + parte cística
- Risco depende das características da parte sólida
- Punciona se parte sólida maior que 2.5 cm
Sólido:
- 🔴 Mais suspeito que cístico/misto
- Risco depende de ecogenicidade e outras características
- Maioria ainda assim é benigno
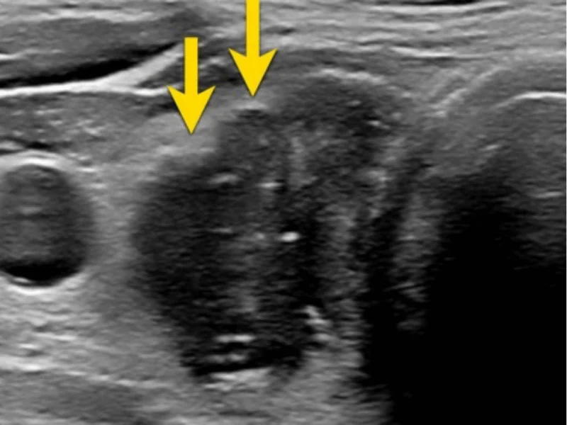
Característica #3: Ecogenicidade ⭐ (MAIS IMPORTANTE)
É a "cor" do nódulo no ultrassom.
Tipos de ecogenicidade
Hiperecoico (mais claro que tireoide):
- ✅ Muito baixo risco
- Aparece branco/claro
Isoecoico (mesma cor que tireoide):
- ✅ Baixo risco
- Mesma tonalidade do tecido normal
Hipoecoico (mais escuro que tireoide):
- 🔴 MAIS SUSPEITO
- Aparece cinza/escuro
- Maioria dos cânceres é hipoecoico
- MAS: maioria dos hipoecoicos ainda é benigno!
Marcadamente hipoecoico (muito escuro):
- 🔴🔴 MUITO SUSPEITO
- Mais escuro que músculos do pescoço
- Risco câncer: 30-50%
- Indicação forte de PAAF
Formato
Algumas pesquisas mostraram que nódulos “mais altos do que largos” são mais perigosos. Essa característica não considero muito confiável pois depende da pessoa que fez o ultrassom. O nódulo deve ser avaliado no plano transversal. Se ele for redondo ou formato oval deitado tem risco menor do que quando o nódulo é oval em pé.
Margens e bordas
Margens regulares, bordas bem definidas: maior chance de serem benignos.
Margens irregulares ou mal delimitadas: suspeitos de serem malignos. Se tiver extensão extratireoidiana, o risco é ainda maior.
Calcificações
Quando estão presentes microcalcificações, a suspeita para câncer é maior. Calcificações grosseiras estão mais presentes em lesões benignas.
Vascularização
É uma característica útil, porém não está disponível em todos os laudos de ultrassom da tireoide, pois necessita do Doppler. A classificação de Chammas utiliza a vascularização dos nódulos como forma de prever se eles são malignos ou benignos. Porém estudos mostram que ela não tem acurácia e está caindo em desuso.
Quantidade de nódulos
Cada nódulo na tireoide deve ser avaliado isoladamente. Não há diferença quanto ao risco do câncer de tireoide tendo 1 ou 10 nódulos. O importante a ser avaliado são as características individuais de cada um, devendo prosseguir a investigação apenas nos mais suspeitos. Na verdade, pessoas que têm apenas 1 nódulo têm risco maior do que as pessoas que têm vários nódulos.
Que tipo de nódulo eu tenho?
- Nódulo sólido hipoecóico ou hipoecogênico: ficar atento, talvez precise puncionar ou até operar, principalmente se tiver características suspeitas como microcalcificações e bordas irregulares.
- Nódulo sólido isoecóico ou isoecogênico: baixa suspeita.
- Nódulo misto: baixa suspeita. Levar em consideração o tamanho, se for muito grande = cirurgia.
- Cisto: zero preocupação. Cistos não têm necessidade de acompanhar ou puncionar, pois são totalmente benignos.
Preciso de outros exames?
Dependendo do que for encontrado no ultrassom da tireoide, alguns casos necessitam da PAAF, punção aspirativa por agulha fina da tireoide, para se ter uma confirmação do diagnóstico, se é benigno ou não.
Hipertireoidismo e nódulo na tireoide
Alguns pacientes apresentam hipertireoidismo e nódulo na tireoide, sendo necessária a cintilografia da tireoide para avaliar se a causa do hipertireoidismo é do nódulo ou não. Nódulos produtores de hormônios são chamados de nódulos quentes, e os não produtores de hormônios são os nódulos frios.
TI-RADS: Classificação de risco
Sistema que soma características suspeitas e define conduta.
| TI-RADS | Risco câncer | Tamanho para PAAF |
|---|---|---|
| TR1 | Menor que 1% | Não punciona |
| TR2 | Menor que 2% | Não punciona |
| TR3 | 5% | ≥ 2.5 cm |
| TR4 | 10-20% | ≥ 1.5 cm |
| TR5 | 50-80% | ≥ 1.0 cm |
Leia mais: Quando puncionar nódulos
Perguntas frequentes
Próximos passos práticos
✅ O que fazer agora
-
Agende avaliação com especialista em nódulo de tireoide
- Cirurgião de cabeça e pescoço especialista em tireoide
- Analisa ultrassom completo e define se precisa PAAF
- Atendimento presencial em Fortaleza (com ultrassom no mesmo dia) ou online para todo o Brasil
-
Leve todos os exames:
- Ultrassom da tireoide (laudo + imagens se possível)
- TSH recente (se tiver)
- Exames anteriores (comparar se cresceu)
-
Anote suas dúvidas:
- Sintomas (se tiver)
- Preocupações
- Histórico familiar
❌ O que NÃO fazer
- ❌ Entrar em pânico (95% benignos)
- ❌ Ficar pesquisando no Google (causa mais ansiedade)
- ❌ Ignorar (nódulo precisa avaliação profissional)
- ❌ Pedir PAAF por conta própria (critérios específicos)
- ❌ Tomar suplementos "para nódulo" (não funcionam)
Conclusão
Descobrir nódulo no ultrassom é comum e geralmente benigno (95%). Características importantes: hipoecóico, microcalcificações, margens irregulares aumentam suspeita mas NÃO confirmam câncer. Sistema TI-RADS classifica risco e define se precisa PAAF. Próximo passo: avaliação especializada em nódulo de tireoide. NÃO entre em pânico - maioria dos nódulos não precisa cirurgia. E quando precisa, a cirurgia de tireoide é segura e com recuperação rápida.
Pontos-chave:
- ✅ 95% nódulos são benignos
- ✅ Cisto puro = 100% benigno
- ✅ Hipoecóico + microcalcificações = mais suspeito
- ✅ TI-RADS define se precisa PAAF
- ✅ Procurar especialista (não desesperar)
Lembre-se: nódulo descoberto no ultrassom não é sentença de cirurgia. Maioria apenas acompanha com ultrassom periódico.





