Bócio multinodular é uma glândula tireoide com vários nódulos ao mesmo tempo. A maioria desses nódulos é benigna. Mas quando o bócio cresce a ponto de comprimir estruturas do pescoço — ou quando causa hipertireoidismo — a cirurgia deixa de ser uma opção e passa a ser a solução definitiva.
Bócio vs. Bócio Multinodular: qual a diferença?
Bócio simples: aumento difuso da tireoide, sem nódulos individualizados. Comum em regiões com deficiência de iodo.
Bócio multinodular: vários nódulos de diferentes tamanhos dentro de uma tireoide aumentada. É o tipo mais comum em adultos acima dos 50 anos. Pode ser:
- Eutireóideo: função normal da tireoide
- Tóxico: um ou mais nódulos produzem hormônio em excesso, causando hipertireoidismo
Bócio multinodular assintomático, pequeno e com nódulos benignos pode ser acompanhado. Mas quando os sintomas chegam, o tratamento definitivo é cirúrgico.
Sintomas que indicam cirurgia
Disfagia — dificuldade para engolir
- Sensação de "algo no caminho" ao engolir alimentos sólidos
- Necessidade de beber líquido a cada garfada
- Engasgos frequentes, especialmente com pão e carne
- Piora progressiva ao longo dos meses
Dispneia — dificuldade para respirar
- Falta de ar ao deitar (ortopneia)
- Chiado ao respirar (estridor) — sinal de compressão traqueal importante
- Dificuldade para respirar durante exercícios físicos simples
- Sensação de "aperto no pescoço"
Disfonia — alteração na voz
- Rouquidão persistente sem causa infecciosa
- Voz cansada ou que falha ao longo do dia
- Indica possível compressão do nervo laríngeo recorrente
Compressão vascular
- Inchaço no rosto, especialmente ao levantar os braços
- Veias do pescoço dilatadas
- Sinal de Pemberton: ao elevar os braços acima da cabeça, aparece rubor facial e tonteira — indica bócio comprimindo as veias jugulares
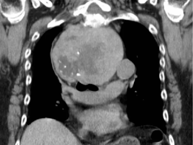
Bócio mergulhante: urgência maior
O bócio mergulhante é aquele que cresce para dentro do tórax, passando por baixo do esterno. Nesses casos:
- A compressão traqueal tende a ser mais intensa
- Não é possível acompanhar o crescimento apenas pelo pescoço
- A cirurgia é tecnicamente mais complexa, mas continua sendo feita por acesso cervical (pelo pescoço) na maioria dos casos
- Adiar aumenta o risco de complicações respiratórias
Se o seu ultrassom ou tomografia mostrou extensão intratorácica, a avaliação cirúrgica deve ser prioritária.
Bócio tóxico multinodular: quando a cirurgia supera o iodo
O bócio tóxico (com hipertireoidismo) pode ser tratado com:
- Medicamentos antitireoidianos (metimazol, propiltiouracil): controlam os sintomas, mas não eliminam os nódulos. Efeito dura só enquanto toma o remédio.
- Radioiodoterapia (iodo-131): reduz o bócio ao longo de meses, mas pode não funcionar bem em bócios muito grandes.
- Cirurgia (tireoidectomia total): tratamento definitivo, com resultado imediato.
A cirurgia é preferida quando:
- Bócio volumoso (maior que 60–80 g)
- Sintomas compressivos associados ao hipertireoidismo
- Bócio mergulhante
- Desejo de gravidez nos próximos 6 meses
- Oftalmopatia de Graves associada (raramente no multinodular)
- Radioiodoterapia contraindicada ou ineficaz
Por que a tireoidectomia total é a regra no bócio multinodular
Diferente de um nódulo único unilateral, o bócio multinodular envolve toda a glândula. Por isso:
- Não se opera apenas um nódulo: os demais continuam presentes e crescem
- A lobectomia (parcial) raramente resolve: nódulos no lobo restante persistem
- Tireoidectomia total remove toda a glândula de uma vez, elimina o problema definitivamente e facilita o acompanhamento posterior
Após a cirurgia, o paciente usa levotiroxina (hormônio tireoidiano) em dose simples, uma vez ao dia. A qualidade de vida após a reposição hormonal adequada é excelente.
O que esperar da cirurgia e da recuperação
Internação: geralmente 1 noite no hospital.
Cicatriz: incisão pequena e horizontal no pescoço, que clareia muito nos primeiros 6 a 12 meses.
Retorno às atividades: atividades leves em 3 a 5 dias. Atividades físicas intensas após 4 a 6 semanas.
Exames pós-cirúrgicos: TSH e cálcio nos primeiros dias após a cirurgia, seguidos de ajuste da dose de hormônio.
Sintomas compressivos: na maioria dos casos, regridem rapidamente após a cirurgia — engasgo e dificuldade respiratória melhoram já na primeira semana.
Perguntas frequentes
Quando procurar avaliação com cirurgião
Procure avaliação com cirurgião de cabeça e pescoço se você tem bócio multinodular e:
- ✅ Sente engasgo, dificuldade para engolir ou respirar
- ✅ Tem rouquidão sem causa aparente
- ✅ O médico identificou extensão intratorácica (bócio mergulhante)
- ✅ Tem hipertireoidismo sem controle adequado com medicamentos
- ✅ O bócio está crescendo progressivamente
- ✅ Quer uma solução definitiva, sem depender de medicamento para sempre
Conclusão
O bócio multinodular é tratável — e quando há indicação cirúrgica, a tireoidectomia total é segura, definitiva e com recuperação rápida. Sintomas como engasgo, dispneia e rouquidão são sinais de que o bócio está comprimindo estruturas importantes e que adiar a cirurgia só aumenta o risco de complicações. A avaliação precoce com cirurgião especialista é o melhor caminho.





